Ortodonti(diş teli) tedavisi her yaştaki bireylerin çene, ağız ve diş yapısı ile ilgili tüm bozuklukların bir arada değerlendirildiği bilim dalıdır. Düzgün ve sağlıklı bir ağız ve diş yapısı kazandırmak için yapılan müdahalelerin tamamını kapsar.
Ortodontik tedaviye ihtiyacınız olup olmadığını bu alanda uzman olan ortodontistler tarafından belirlenir.
Ortodontik tedavi ihtiyacınız detaylı ağız ve diş muayeneniz , çene durumunuz, özel bazı röntgenlerin çekilmesi (panaromik ve sefolometrik röntgen v.s) ve özel fotoğraflama yöntemleri ile belirlenebilir.
Yani dişleri ve dişleri tutan kemikleri sağlıklı olan herkese ortodontik tedavi uygulanabilir.
Çocukluklarında ortodontik tedavi görmemiş bir çok yetişkin, şimdi istediği yaşta bu hizmetten yararlanabiliyor. İleri teknoloji sayesinde artık küçük, şeffaf ve neredeyse görünmeyen braketler kullanılıp, isteğe bağlı olarak dişlerin arka yüzeylerine de braket yapıştırılabilmektedir. Ayrıca günümüzde, ileri cerrahi yöntemler sayesinde yetişkinlerin yüz ve çene kemiklerindeki sorunlar bile giderilebilmektedir.
YAŞ GRUPLARINA GÖRE ORTODONTİ TEDAVİSİ
Çocuk ortodontisi:
Çoğu hastamızda ortalama 1,5 yıl süren ve tüm daimi dişlerin sürmesine yakın zamanda başlanan tedaviler söz konusudur. Ancak çocuklarda bazı durumlarda 6 yaş dişlerinin sürme zamanı itibariyle tedaviler başlayabilir. Büyüme gelişim döneminin takibi gereken bu tip olgularda aralarda aktif tedaviden çok izleme periyodları da bulunmak suretiyle uzun süreli ortodontik tedavi süreçleri izlenebilmektedir.
Yetişkin ortodontisi:
Birçok hastada çok kısa süren (1-3 ay) ve estetik-protetik tedaviler öncesinde en iyi estetiği yakalayabilmek adına yürütülen ortodontik tedaviler yapılması söz konusudur. Bunun dışında rutin ortodontik tedaviler 1,5 yıl kadar sürmektedir.
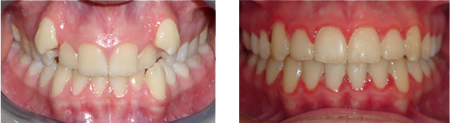
Resim 1: Klinkte uyguladığımız bir tedavi
Yetişkinlerde çene kemiklerine ait düzeltimler:
Yetişkinlerde çene kemiklerine ait problemlerin çözümünde (örneğin alt çenenin çok önde olması) cerrahi branşların desteğine ihtiyaç duyulabilmektedir. Ancak bu durumlarda da tedavi yine 1,5 – 2 yıl civarında bitirilebilmektedir. Ortodontik tedavi sürecinde ortodontistinizin uygun gördüğü bir aşamada maksillofasyal cerrah tarafından genel anestezi altında gerçekleşen bir operasyon ile çene kemiğindeki yanlış pozisyon düzeltilmektedir. Hastalar çene ameliyatından sonra yaklaşık 1 haftalık bir dinlenme sürecine gerek duymaktadırlar.
Tedavi seçenekleri:
Ortodontist size tedavi seçeneklerini avantaj ve dezavantajları ile açıklayacak ve kendi bilgi ve tecrübesi doğrultusunda yönlendirecektir. Hastanın istek ve beklentileri ile doktorun profesyonel tavsiyesi doğrultusunda seçilen tedavi planı uygulamaya konacaktır.
Ortodonti Tedavisi fiyat bilgisi ve tüm sorularınız için bizlerle ozlem@dentamar.com.tr mail adresiyle ya da 0216 411 16 86, Whatsapp 0533 302 77 78 nolu telefonlar ile iletişime geçebilirsiniz!
Gülüşünüze her zaman özen gösteriyoruz
0533 302 77 78
Dentamar Ağız ve Diş Sağlığı Poliklinik Hizmetleri © 2025 | Tüm Hakları Saklıdır. Crow Dijital Ajans